Finesse Dental

Dental implants are a revolutionary solution for individuals facing tooth loss or damage. They offer a permanent and effective way to restore both function and aesthetics to your smile. Here’s everything you need to know about dental implants, including their cost-effectiveness, particularly in India.

    Contact Info

    No: 58 A, East Madison Street, Baltimore, MD, USA 4508

    Social Share :

    What Are Dental Implants?

    Dental implants are titanium posts that are surgically placed into the jawbone, acting as artificial roots for missing teeth. Once the implant integrates with the bone through a process called osseointegration, a crown (the visible part of the tooth) is attached to provide a natural appearance and functionality.

    Benefits of Dental Implants

    • Natural Appearance: Dental implants look and feel like natural teeth, enhancing your smile and confidence.
    • Durability: With proper care, dental implants can last a lifetime, making them a long-term solution for tooth loss.
    • Bone Health: Implants stimulate the jawbone, preventing bone loss that often occurs with missing teeth.
    • Improved Functionality: Unlike dentures, dental implants provide stable support for chewing and speaking, allowing you to enjoy your favorite foods without worry.
    • Convenience: Dental implants eliminate the need for messy adhesives and the hassle of removable dentures.

    Dental Bridge vs Dental Implants

    When evaluating dental bridges versus dental implants, several factors come into play. Dental implants are often preferred for their long-lasting durability and the advantage of preserving adjacent healthy teeth, which bridges typically require altering. According to research by White (2018) in the Dental Journal of Advance Studies, implants also support jawbone health by minimizing bone loss associated with missing teeth.

    On the other hand, dental bridges may be a better choice in cases where adjacent teeth already have substantial dental work or when the patient’s bone health is insufficient to support implants without extensive grafting. Additionally, bridges are generally more cost-effective and involve a shorter treatment timeline, making them a practical option for certain individuals.

    All on 4 Dental Implants

    The All on 4 implants is a dental rehabilitation solution that gives you a new set of teeth supported by four implants in each jaw. It is a kind of cosmetic dentistry primarily used to improve the look of a patient’s teeth and their functionality.

    This treatment procedure is a least invasive surgical solution with a fixed full-arch restoration. It serves as a more permanent and natural-looking replacement for dentures. You don’t have to replace each lost tooth individually with an All-on-4 implant.

    The dental implants are put in strategic locations of the jaw where there is more available jaw bone, avoiding the need for expensive and time-consuming bone grafting and sinus lifting procedures.

    The All on 4 implants make it possible for you to replace a complete set of teeth with a simple, effective, and reliable solution.

    Benefits of All on 4 dental implants

    • Shorter treatment time.
    • Quick improvement in quality of life.
    • Affordable cost.
    • Stability even in less bone volume.

    Who is the ideal candidate for All on 4 implants?

    Dental Implants require oral surgery, and like any other medical operation, some people may not benefit or be considered eligible for All on 4 implants. The following are the criteria for an ideal candidate:

    • Need sufficient amount of jawbone for the implant to fuse with the jaw
    • Should not be suffering from any gum disease as it can cause implant failure.
    • Be in good overall health to handle the procedure and any possible risks associated with the surgery.

    All on 6 Dental Implants

    All on 6 implants is a perfect treatment for replacing teeth in the upper or lower jaw. It restructures a patient’s mouth and is typically performed after losing a considerable number of teeth in one or both jaws.

    With the help of biomechanics and computer simulation, the entire dental arches are rebuilt as an immediate procedure. This treatment is designed to ensure maximum effectiveness, minimal invasiveness, and best results.

    During All on 6 dental implant surgery, six dental implants are inserted into the lower or higher jawbone to permanently hold prosthetic teeth in place. It serves as an anchorage point for a bridge or overdenture.

    What are the benefits of All On 6 Dental Implants?

    • It looks and functions like your natural teeth
    • Bone grafting is not required in most cases, as it is possible even if bone loss has occurred.
    • No need for removable dentures
    • Quick recovery
    • Dental implants help preserve your jawbone and keep it healthy and strong
    • This procedure uses only 6 implants to secure all teeth, reducing the overall cost.

    Who is an ideal candidate for All On 6 Dental Implants?

    Dental implants necessitate oral surgery, and some people may not be eligible for All on 6 implants. Requirements for a perfect candidate are:

    • Enough jawbone is required for the implant to integrate with the jaw.
    • Gum disease should not be present because it can lead to implant failure.
    • To handle the process and any potential risks involved with the surgery, you must be in good overall health.
    • Diabetes, chewing tobacco, and smoking do not make you an ideal candidate.

    All on 8 Dental Implants

    All on 8 dental implants are a type of dental procedure wherein eight implants are fixed in each jaw that acts as anchors for a fixed dental bridge.

    All on 8 implants in Delhi are mostly opted by people who have lost 80% of their teeth. The uniform distribution of chewing forces to the implants is necessary for a perfect smile, comfort, and long-term health of implants and bone.

    As the load distribution is properly spread in All on 8 dental implants, each implant is subjected to less occlusal stress induced by chewing than the All-on-4 concept.

    Further, All on 8 implants offer a wider range of prosthetic choices than All On 4 implants. As the distance between each dental implant on an arch is minimum, a dental bridge can be made of aesthetic materials like porcelain or zirconia. Eight implants support a bridge having 12-14 teeth.

    Who can opt for All on 8 dental implants?

    We recommend All on 8 dental implants in Delhi to patients who have lost all their teeth on the upper or lower jaw or who plan to have any remaining teeth extracted and restored with implants. These implants provide a long-term, stable solution to regular dentures.

    However, you may not be a good candidate for implants if you use tobacco or are diabetic.

    Immediate Implants

    Immediate implant placement in the fresh extraction socket has become the preferred treatment in implant therapy due to the numerous benefits over implant placement in healed bone. The exact timing for implant placement is determined by the structural changes in the hard and soft tissues following extraction.

    Two-thirds of resorption occurs in the first three months after extraction, resulting in a complicated clinical scenario. The quick placement of an implant in a new extraction site reduces bone resorption. 

    Since the ability to place an immediate implant is dependent on the anatomy, decisions are generally made only at the time of extraction.

    The patient benefits from a cost-effective and less invasive approach that shortens treatment time and improves patient comfort.

    Who can opt for immediate implants?

    Patients who require tooth extractions for the following reasons should consider immediate implants:

    • Severely decayed tooth
    • Advanced bone deterioration
    • Extensively damaged tooth
    • A functional tooth that we cannot preserve

    Our experienced implantologist will evaluate your mouth and discuss your medical history during a consultation to see if you are a candidate for immediate implants. Pregnant women, diabetic patients, smokers, and those with specific oral health issues are not eligible.

    Patients with leukaemia undergoing radiation are not eligible because the treatment may cause bone abnormalities that would make implant placement difficult.

    What are the benefits of immediate implants in Delhi?

    Some of the advantages of immediate implants are:

    • It helps maintain aesthetics, reduce gum resorption and recession, and retain gingival contour surrounding the prosthesis in the anterior regions.
    • It eliminates the necessity for the second stage of surgery.
    • A crown with suitable shapes and an emerging profile will encourage the formation of the papilla.

    Implant-supported dentures

    Implant-supported dentures are a combination of traditional dentures and full-arch dental implants. Individuals looking for a cost-effective way to improve their chewing and smiling abilities can consider implant-supported dentures. The implant’s support allows the dental fixture to be fashioned into a horseshoe, minimizing bulk and expanding the palate to allow more space for the tongue and improved taste. Dentures that are supported by implants are more stable and do not require glue. They also boost patients’ confidence in their ability to smile and converse.

    What are the benefits of implant-supported dentures?

    Many people opt for implant-supported dentures in Delhi, as they offer the following advantages:

    • They are a cost-effective way to increase your chewing and smiling abilities significantly.
    • Look aesthetically pleasing and have a comfortable fit.
    • Dentures supported by implants are strong and do not require adhesive. They last longer than traditional dentures.
    • Gum tissue and bone are preserved with this procedure.
    • As the denture is detachable, it is simple to clean.
    • They perform like natural teeth.

    Full Arch Dental Implants

    A dental implant is a screw-like device positioned and inserted within the jawbone (upper or lower) depending on the implantation site. It functions as a root form, simulating the root form of a natural tooth.

    A dental specialist may place full arch dental implants in both the upper and lower jaws to act as a support system for replacing and creating teeth for both jaws. These implants are a quick and easy way to achieve a fuller and healthier smile. It is a long-term option that provides a stable and attractive result.

    Who Can Go For Full Arch Dental Implants?

    Full arch dental implantation can be an ideal choice for you:

    • If you have missing teeth or need to replace all teeth in one or both jaws, implants are the best option for creating a fixed full-arch bridge.
    • If you have been wearing dentures and want to upgrade to something more secure.

    Zirconia Implants

    Dental implants have long been used to help people who have lost teeth. Traditionally dental implants are made up of titanium which is a type of metal. Dental implants made of zirconium are one of the most recent options for replacing missing teeth

    What is a Zirconia Implant?

    With today’s changing lifestyles and compromised immune systems, metal treatment methods might pose a severe threat to your body, significantly as allergies rise daily. Zirconia implants are hypoallergic, so you need not get tensed about any allergies.

    Why choose a zirconia implant over a titanium implant?

    Titanium implants are in the market for decades. Still, it is a metal and can develop allergies and corrosion. Although uncommon with Zirconia implants currently popularized, metal-free is a non-allergic and biologically inert material.

    Zirconia implants are the best alternative to conventional titanium implants. They are a recent development in the implant world, all thanks to the developing technology.

    What are the Advantages of Zirconia Implants?

    • Suitable for patients with metal hypersensitivity.
    • Enhance aesthetics.
    • Retains less plaque and calculus (biofilm) compared to titanium implants.
    • Exceptional flexural strength and fracture toughness.
    • Better bone-implant-contact than titanium implants.

    What are the Disadvantages of Zirconia Implants?

    • Limited clinical studies.
    • Possibility of premature loading of the one-piece.
    • One-piece implants may need modification based on positioning.
    • Physical qualities of zirconia reduce due to modification.
    • Slightly higher fracture rates compared to titanium implants.

    Bone Grafting for Dental Implants

    In order to augment bone or restructure tissue, some people may require bone grafting. It is necessary when the width or height of the bone is insufficient to support an implant. Bone for the graft can come from the patient’s body, commercially available bovine grafts, or synthetic grafts containing hydroxyapatite crystals and tricalcium phosphate. We may extract small bone blocks from the patient’s body, implant them on the insufficient bone location, and stabilize them with titanium screws. After the grafting material is applied, a resorbable collagen membrane is sometimes used to keep the graft in place.

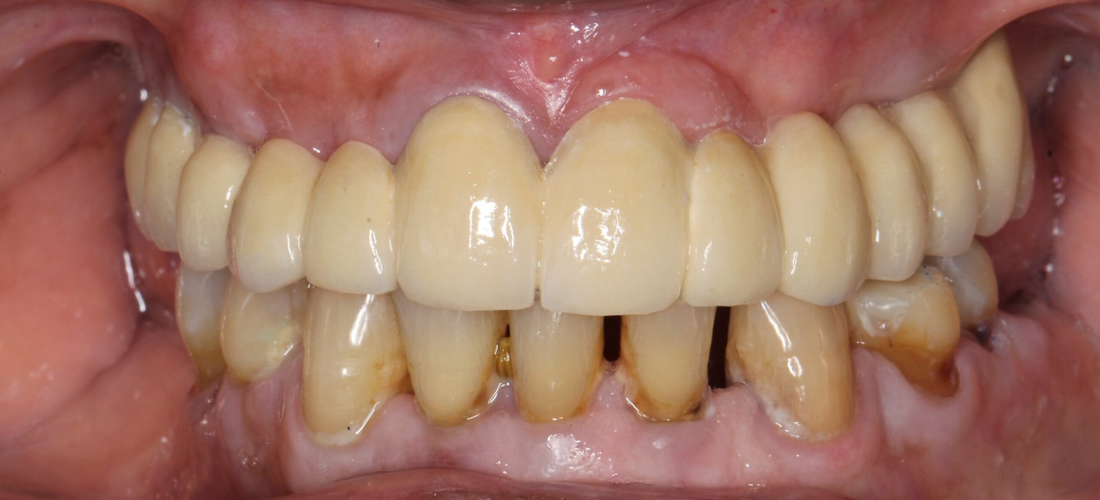
    Stages of Dental Implant Healing

    The healing process for dental implants occurs in multiple phases, beginning with osseointegration, where the implant fuses with the jawbone. This critical stage can take several months, during which patients are often advised to follow dietary precautions to safeguard the implant. Following this, the abutment and the dental prosthesis (crown) are placed to complete the procedure.

    Maintaining exceptional oral hygiene and attending regular follow-up visits with the dentist are essential throughout the healing process. These appointments allow the dentist to track progress and ensure the implant integrates effectively with the jawbone.

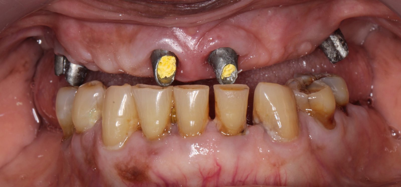
    The Dental Implant Procedure

    1. Consultation: Your dentist will evaluate your oral health and determine if you are a suitable candidate for implants.
    2. Surgical Placement: The titanium implant is surgically placed into the jawbone. This procedure is typically done under local anesthesia.
    3. Healing Period: Over the next few months, the implant fuses with the bone. This healing period is crucial for the stability of the implant.
    4. Abutment Placement: Once healed, an abutment is attached to the implant, which will hold the crown.

    Are You a Candidate for Dental Implants?

    Most adults with good oral health are candidates for dental implants. Factors that may affect candidacy include:

    • Sufficient bone density in the jaw
    • Healthy gums
    • Commitment to maintaining good oral hygiene

    Certain medical conditions may also impact the success of the procedure, so it’s essential to discuss your health history with your dentist.

    Aftercare for Dental Implants

    Caring for dental implants is similar to caring for natural teeth:

    • Regular Brushing and Flossing: Maintain a routine of brushing twice a day and flossing daily.
    • Routine Dental Check-ups: Visit your dentist regularly for check-ups and cleanings.

    Lifestyle Choices: Avoid smoking and excessive alcohol consumption, as these can negatively affect healing and the longevity of the implants.

    Dental Implants in India vs. Other Countries

    Cost Comparison

    • India: $300 – $800 per implant
    • USA: $3,000 – $4,500 per implant
    • Canada: $2,500 – $4,000 per implant
    • UK: $2,500 – $3,500 per implant

    The significant cost savings in India do not compromise the quality of care. Many dental clinics in India are equipped with the latest technology and staffed by highly trained professionals, often providing services that meet international standards.

    Quality of Care

    India boasts a growing number of dental professionals who have received training and certifications from prestigious institutions worldwide. Many dental clinics offer comprehensive packages that include consultations, treatment, and post-operative care, ensuring a smooth and satisfactory experience for patients.

    Medical Tourism

    India has become a popular destination for medical tourism, particularly for dental procedures. Patients from countries with high dental costs are increasingly traveling to India to take advantage of affordable and high-quality dental care. Many clinics cater specifically to international patients, providing services in multiple languages and assistance with travel arrangements.