Finesse Dental

What is Orthodontics?

Orthodontics is a specialized branch of dentistry that focuses on diagnosing, preventing, and correcting misaligned teeth and jaws. It’s not just about aesthetics—proper alignment also plays a key role in maintaining oral health, speech, and efficient chewing.

At Finesse Dental Cosmetic Clinic, we offer advanced orthodontic treatments for children, teens, and adults—customized to meet each patient’s unique needs and lifestyle.

    Contact Info

    No: 58 A, East Madison Street, Baltimore, MD, USA 4508

    Social Share :

    Why is Orthodontic Treatment Important?

    • Prevents long-term dental issues
    • Improves oral hygiene by making teeth easier to clean
    • Enhances facial symmetry and smile aesthetics
    • Corrects speech difficulties caused by misalignment
    • Helps reduce strain on the jaw and surrounding muscles

    Who Needs Orthodontic Treatment?

    Orthodontic care is beneficial for:

    • Children with developing bite issues
    • Teens with overcrowded or crooked teeth
    • Adults who missed treatment earlier or have shifting teeth
    • Anyone with bite problems like overbite, underbite, or crossbite

    Early Orthodontic Evaluation for Children

    We recommend an orthodontic assessment by age 7. Early detection allows us to:

    • Guide jaw growth
    • Correct harmful oral habits
    • Lower the risk of trauma to protruding front teeth
    • Simplify future orthodontic treatment

    Adult Orthodontics: It’s Never Too Late

    Orthodontic treatment for adults is more common than ever. With options like clear aligners and ceramic braces, adults can now straighten their teeth discreetly and comfortably

    Common Orthodontic Issues We Treat

    Orthodontic treatment can address a wide range of dental and jaw problems, including:

    • Crowded Teeth
      Teeth that overlap or are twisted due to lack of space.
    • Spacing Issues
      Gaps between teeth caused by missing teeth or abnormal growth patterns.
    • Overbite
      When the upper front teeth extend too far over the lower front teeth.
    • Underbite
      When the lower jaw extends past the upper jaw.
    • Crossbite
      When some upper teeth sit inside the lower teeth rather than outside.
    • Open Bite
      When the front teeth do not touch when the mouth is closed.

    Types of Orthodontic Treatments We Offer

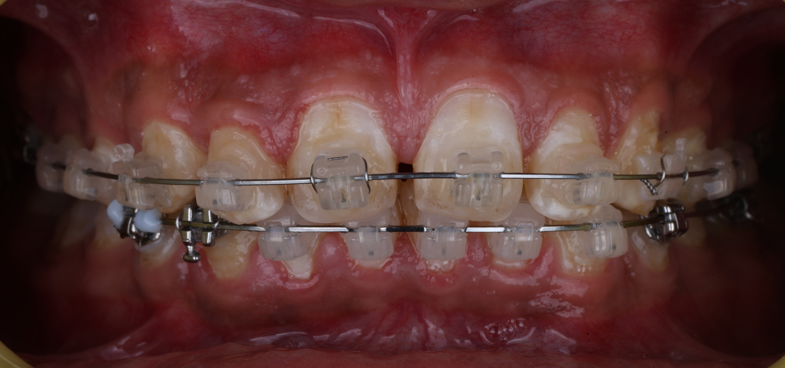
    • Metal Braces

    The most traditional and effective method for aligning teeth. Today’s metal braces are smaller, more comfortable, and more efficient than ever before.

    1. Ceramic Braces

    Similar to metal braces, but with tooth-colored or clear brackets that blend in with your natural teeth—perfect for patients concerned about aesthetics.

    1. Self-Ligating Braces

    These braces use a slide mechanism instead of elastic bands, reducing friction and treatment time while making oral hygiene easier.

    1. Clear Aligners (Invisalign® and Similar)

    Removable, virtually invisible trays that gradually move teeth into the desired position. Ideal for adults and teens who prefer a discreet option without brackets or wires.

    1. Lingual Braces

    These are attached behind the teeth (on the tongue side), making them invisible from the front. Great for patients who want effective treatment without visible braces.

    Benefits of Orthodontic Treatment

    • A healthier smile that’s easier to clean and maintain
    • Improved chewing and digestion
    • Enhanced speech clarity
    • Reduced risk of gum disease, cavities, and jaw problems
    • Boosted self-confidence and overall appearance

    When Should You Consider Orthodontic Treatment?

    Orthodontic issues can be addressed at any age, but early intervention (around age 7) can prevent more serious problems in the future. Adults too can benefit greatly from orthodontic care—age is no barrier to achieving a beautiful smile.

    Advanced Diagnostic Tools We Use

    At Finesse Dental, we use state-of-the-art technology for accurate diagnosis and treatment planning:

    • Digital X-rays
    • Intraoral Scanners
    • 3D Imaging & Simulation
    • Smile Design Software (for aesthetic planning)

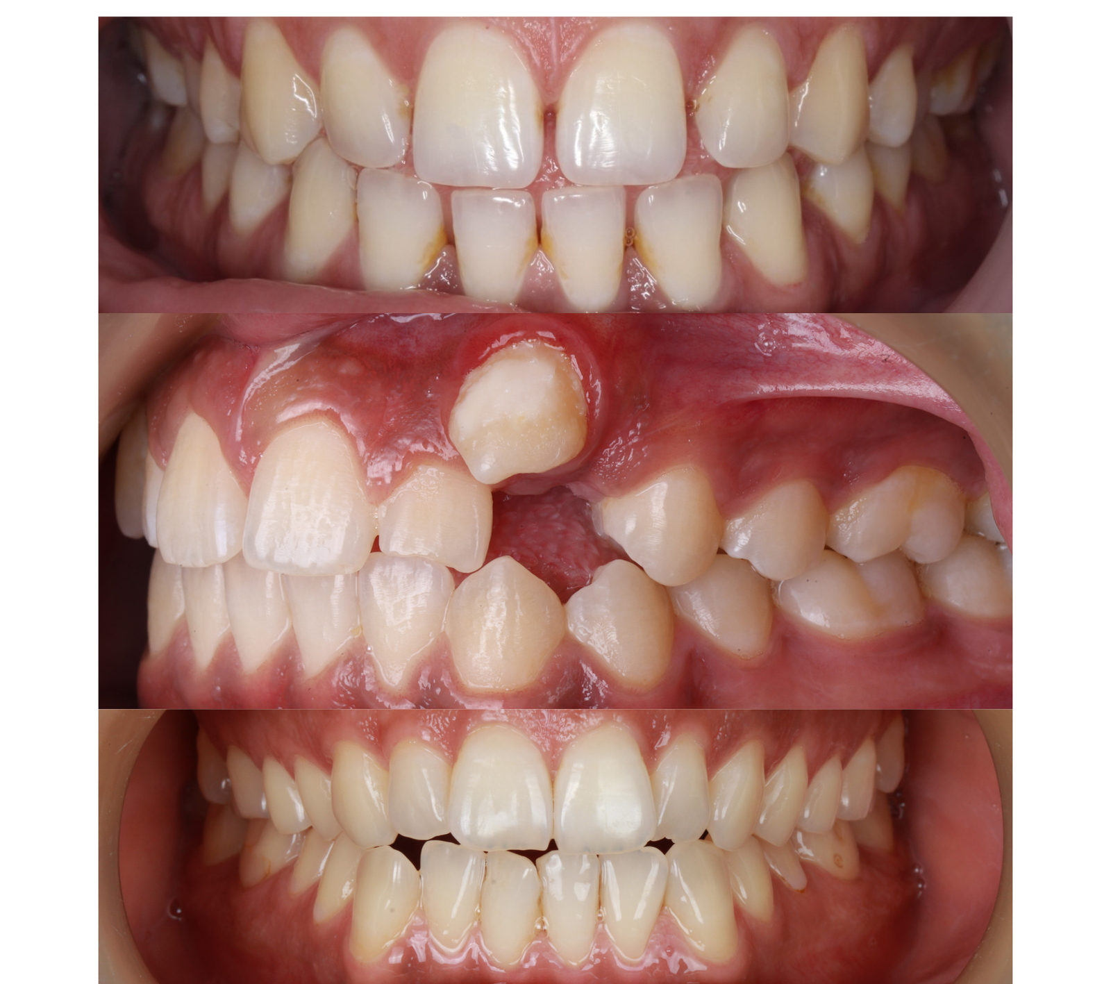
    What to Expect During Treatment

    • Initial Consultation
      We begin with a comprehensive exam, including digital X-rays, photos, and a 3D scan of your teeth to determine the best treatment approach.
    • Customized Treatment Plan
      Every smile is unique. We design a tailored treatment plan based on your needs, goals, and lifestyle.
    • Regular Follow-ups
      We monitor your progress closely with regular check-ups to ensure your teeth are moving safely and efficiently.

    Post-Treatment Retainers
    After active treatment, retainers are provided to help maintain your new smile and prevent shifting.

    Customized Treatment Plans

    Each patient receives a personalized plan based on:

    • Age and dental development
    • Type and severity of misalignment
    • Lifestyle and aesthetic preferences
    • Budget and time considerations

    Duration of Orthodontic Treatment

    On average, treatment duration ranges from 12 to 24 months, but can vary depending on:

    • Case complexity
    • Patient age
    • Type of treatment
    • Patient compliance with instructions and oral hygiene

     

    What to Expect:

    • Regular follow-ups for adjustments
    • Minor discomfort initially
    • Diet and lifestyle adjustments
    • Improved oral hygiene practices

    Tips for Success:

    • Follow your orthodontist’s instructions
    • Wear aligners or retainers as prescribed
    • Maintain excellent oral hygiene
    • Avoid sticky and hard foods (for braces)

    After Treatment: Retainers Matter!

    Retainers are essential after active treatment to:

    • Prevent teeth from shifting back
    • Maintain the results you’ve achieved
    • Ensure long-term stability of your bite

    FAQs on Orthodontic Solutions

    Is orthodontic treatment painful?
    You may feel slight discomfort initially, but it typically subsides within a few days.
    How often do I need to visit during treatment?
    Usually every 4–8 weeks for check-ups and adjustments.
    Can I play sports with braces?
    Yes, but we recommend wearing a mouthguard.
    Can I switch to aligners mid-treatment?
    In some cases, yes. It depends on your individual case and stage of treatment.