Finesse Dental

Posterior Dental Crowns & Bridges

Restore Strength, Function & Longevity to Your Back Teeth

Finesse Dental Clinic | Mohali

    Contact Info

    No: 58 A, East Madison Street, Baltimore, MD, USA 4508

    Social Share :

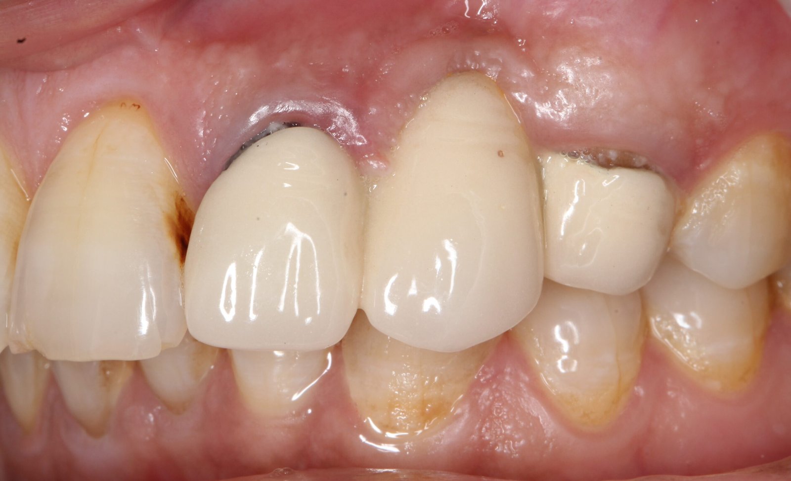
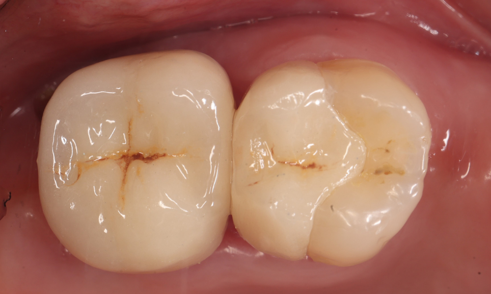
    What Are Posterior Crowns?

    • Custom-made dental crowns designed for molars and premolars
    • Mimic natural tooth in shape, size, and function
    • Protect weakened teeth and restore chewing efficiency
    • Dental Bridges used when one or more back teeth are missing
    • Anchored to adjacent teeth (abutments) and filled with pontic (false tooth)

    When Do You Need a Back Tooth Crown?

    • You’ve had a root canal treatment (RCT) on a molar or premolar
    • The tooth is cracked, worn down, or severely decayed
    • A large filling compromises tooth integrity
    • You are placing a dental implant
    • You want to prevent further damage to a weakened tooth

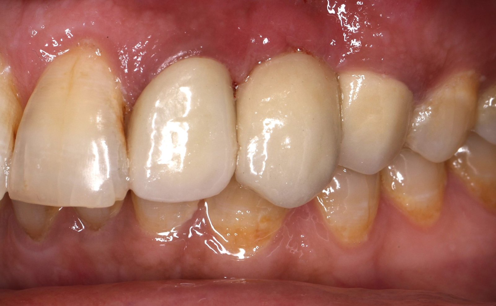
    What Is a Dental Bridge?

    • Fixed solution to replace missing back teeth
    • Components: Abutment teeth and Pontic (artificial tooth)
    • Restores chewing ability
    • Maintains bite alignment and jaw support
    • Prevents teeth shifting

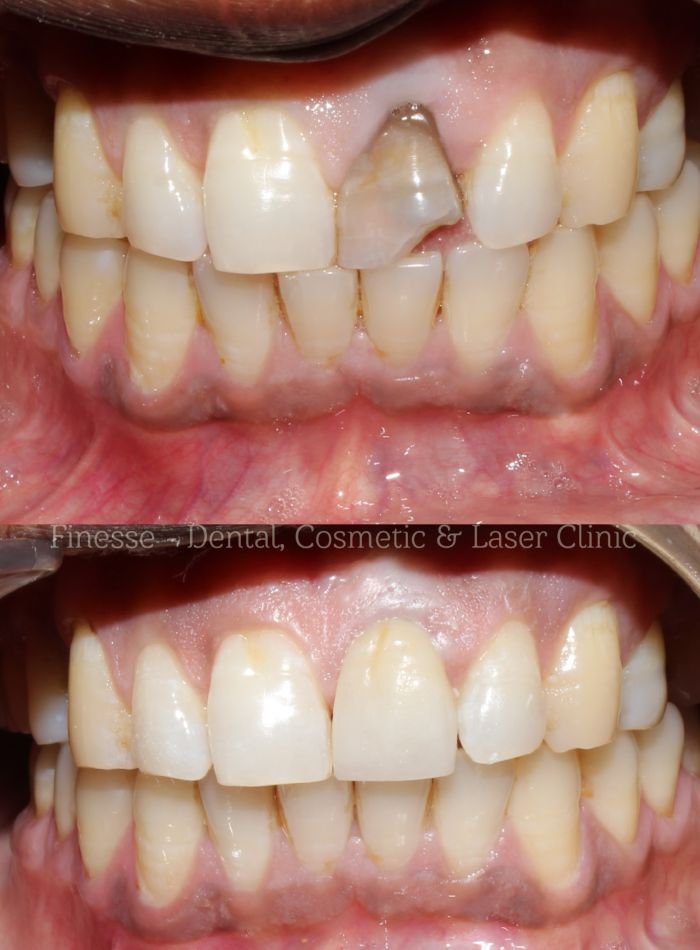
    The Procedure – What to Expect

    Step 1: Tooth Preparation

    • Cleaning and reshaping of the tooth
    • Digital or conventional impression
    • Placement of a temporary crown

    Step 2: Crown Placement

    • Custom crown tested for fit, bite, and comfort
    • Final adjustments and permanent cementation
    • Option: CAD/CAM in select casesSame-day crowns with

    Cost of Posterior Crowns

    • Pricing depends on material and case complexity
    • Transparent pricing
    • Flexible payment options
    • High value through long-lasting restorations

    Types of Posterior Crowns We Offer

    Zirconia Crowns

    • Highly durable and tooth-colored
    • Perfect for high-stress molar zones
    • Biocompatible and long-lasting

    Porcelain-Fused-to-Metal (PFM) Crowns

    • Metal base + aesthetic ceramic overlay
    • More affordable with good strength
    • Risk: metal visibility over time

    Metal Crowns (Gold/Base Metal Alloys)

    • Strongest option for heavy grinders
    • Best for non-visible molars
    • Least aesthetic but exceptionally durable

    Benefits of Posterior Crowns & Bridges

    ✅ Restores Chewing Efficiency

    ✅ Prevents Tooth Fractures

    ✅ Enhances Oral Health

    ✅ Can last 10–15+ years

    ✅ Designed for comfort and aesthetics

    Crown & Bridge Aftercare Tips

    • Brush and floss around the crown daily
    • Avoid chewing hard foods (ice, pens, etc.)
    • Wear a nightguard if you grind teeth
    • Visit for regular dental checkups

    Crown vs. Filling – What’s Better?

    • Dental fillings are for small cavities
    • Crowns are essential when large parts of the tooth are missing
    • Crowns provide full protection and longevity

    Why Choose Finesse Dental Clinic in Mohali?

    • Expertise in crown and bridge restorations
    • smile design for precisionDigital scanning
    • Use of premium crown materials
    • Skilled Prosthodontists & Endodontists
    • Transparent communication & personalized plans