Finesse Dental

Cosmetic Fillings & Dental Sealants in Mohali

Restore, Protect & Beautify Your Teeth at Finesse Dental Clinic

At Finesse Dental Cosmetic Clinic in Mohali, we offer advanced cosmetic tooth fillings and dental sealants to help you maintain a healthy, beautiful smile. These minimally invasive treatments protect your teeth from decay while enhancing their appearance.

    Contact Info

    No: 58 A, East Madison Street, Baltimore, MD, USA 4508

    Social Share :

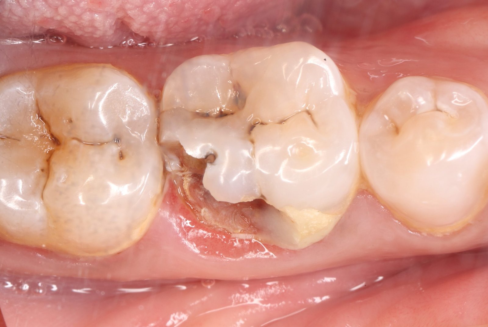
    🦷 What are Cosmetic Fillings?

    Cosmetic fillings, also known as tooth-colored or composite fillings, are used to restore decayed, chipped, or worn teeth without compromising aesthetics. Unlike traditional silver (amalgam) fillings, cosmetic fillings are made from composite resin that matches your natural tooth color — making them virtually invisible.

    Best for:

    • Cavities in front or back teeth
    • Chipped, broken, or worn-down teeth
    • Replacing old silver fillings for better aesthetics
    • Minor cosmetic reshaping of teeth

    🛡️ What are Dental Sealants?

    Dental sealants are thin, protective coatings applied to the chewing surfaces of molars and premolars. They shield the grooves and pits from bacteria and plaque, significantly reducing the risk of tooth decay — especially in children and teenagers.

    Ideal for:

    • Children (6 years and older) with new molars
    • Teenagers prone to cavities
    • Adults with deep grooves or enamel defects

    Benefits of Cosmetic Fillings & Sealants

    ✨ Natural-looking restorations

    🦷 Preserve maximum tooth structure

    ⏱️ Quick, painless procedure

    🔒 Seals and protects teeth

    💬 Improves confidence in your smile

    🧼 Mercury-free and biocompatible materials

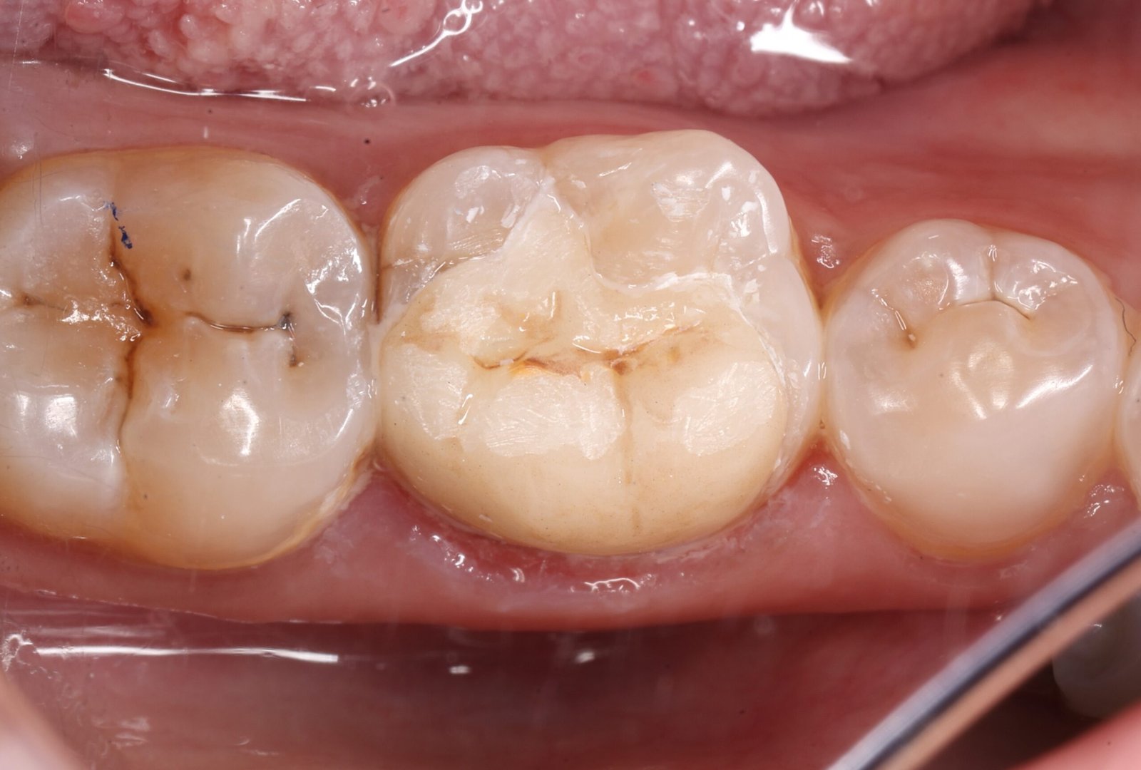
    Our Process

    Examination & Diagnosis

    We perform a visual and radiographic evaluation to check for decay, cracks, or risk zones.

    Tooth Preparation

    For fillings, we gently clean the affected area. For sealants, we clean and dry the grooves before application.

    Application of Material

    For composite fillings, we apply and shape layers of resin, then cure them with a special light.

    For sealants, we coat the tooth and harden it with light in seconds.

    Polishing & Finishing

    The final restoration is shaped and polished to match your bite and tooth anatomy.

    FAQs on Cosmetic Fillings & Dental Sealants

    Are cosmetic fillings as strong as silver fillings?
    Yes. Modern composite resins are durable and suitable for both front and back teeth.
    Do sealants replace brushing?
    No. Sealants are a preventive layer, but brushing and flossing are still essential.
    How long do these treatments last?
    Cosmetic fillings can last 7–10 years, while sealants protect for 5+ years with proper care.
    Are these safe for kids?
    Absolutely. Sealants are painless, safe, and highly recommended for children.