Finesse Dental

At Finesse Dental Clinic, we understand that the thought of a tooth extraction can be nerve-wracking for many patients. However, with advancements in dental technology and anesthesia techniques, tooth removal can now be a completely painless and stress-free experience.

    Contact Info

    No: 58 A, East Madison Street, Baltimore, MD, USA 4508

    Social Share :

    Why Do Teeth Need to Be Extracted?

    Tooth extraction may be recommended in the following cases:

    • Severely decayed or damaged teeth that cannot be restored
    • Impacted or infected wisdom teeth
    • Advanced gum disease that has loosened the tooth
    • Orthodontic reasons (to create space for alignment)
    • Fractured teeth below the gum line
    • Non-functional or supernumerary (extra) teeth

    Our experienced dentists only recommend extraction when it is the best option for your overall oral health.

    What Is a Painless Tooth Extraction?

    A painless extraction means:

    • No pain during the procedure
    • Minimal to no discomfort afterward
    • Fast healing and smooth recovery

    This is made possible by combining modern techniques, precision instruments, and effective anesthesia, ensuring your comfort every step of the way.

    At Finesse Dental Clinic, your comfort is our priority. Here’s how we make your extraction painless:

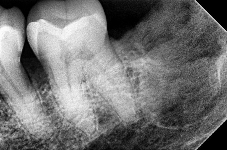
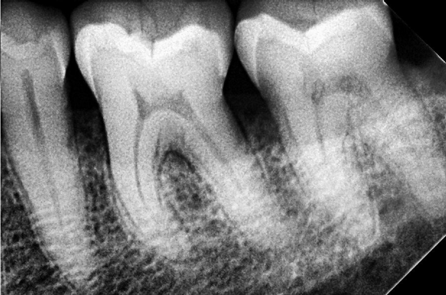
    1. Comprehensive Consultation & Digital X-rays

    We start with a thorough check-up using digital X-rays to assess the condition of the tooth and surrounding bone. This helps us plan the extraction precisely.

    1. Local Anesthesia

    A local anesthetic is administered to completely numb the area. Most patients say they feel just a mild pinch or pressure—no pain at all.

    1. Advanced Extraction Techniques

    Our specialists use minimally invasive instruments and gentle techniques to remove the tooth while preserving surrounding tissues. This results in:

    • Less trauma
    • Faster healing
    • Minimal post-op discomfort
    1. Laser & Piezosurgery Options (if required)

    For complex extractions or surgical cases like impacted wisdom teeth, we may use laser technology or ultrasonic bone surgery (piezosurgery) to further reduce trauma and speed up healing.

    1. Post-Extraction Care & Pain Management

    You’ll be guided on:

    • What to eat
    • How to clean the area
    • Medications (if any)
    • How to avoid complications like dry socket

    We provide written instructions and are just a call away in case you need help.