Finesse Dental

Dentures & Dental Bridges in Mohali – Restore Your Smile with Confidence

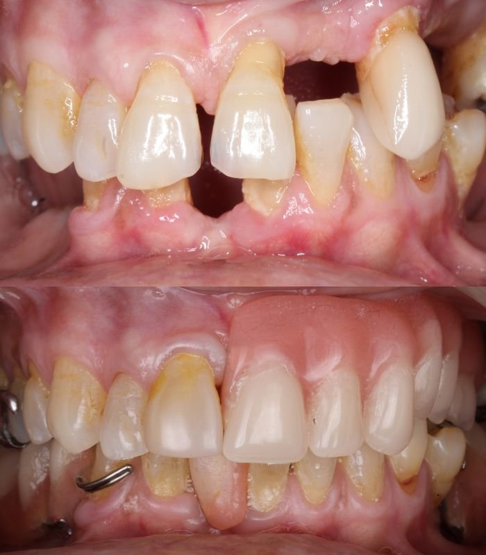
Replacing Missing Teeth with Comfort, Function & Aesthetics

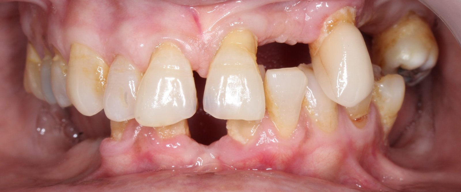
At Finesse Dental Cosmetic Clinic in Mohali, we offer customized solutions like dentures and dental bridges to help patients restore their ability to chew, speak, and smile with confidence. Whether you’re missing a single tooth or several, our tooth replacement options are tailored to your lifestyle and budget.

    Contact Info

    No: 58 A, East Madison Street, Baltimore, MD, USA 4508

    Social Share :

    🦷 What Are Dentures?

    Dentures are removable dental prosthetics used to replace multiple missing teeth. Made of acrylic or flexible materials, dentures are designed to mimic the look and function of natural teeth.

    Types of Dentures:

    • Complete Dentures – For patients missing all teeth in an arch (upper or lower)
    • Partial Dentures – For patients missing some teeth, supported by remaining natural teeth
    • Flexible Dentures – Softer, more comfortable, and often preferred for better fit

    Implant-Supported Dentures – Anchored to dental implants for superior stability

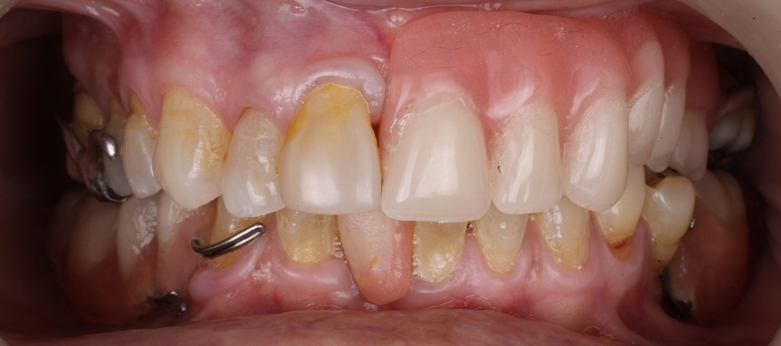
    🛠️ What Are Dental Bridges?

    Dental bridges are fixed prosthetics used to replace one or more missing teeth. They are anchored onto adjacent healthy teeth or dental implants, literally “bridging” the gap.

    Types of Dental Bridges:

    • Traditional Bridge – Supported by natural teeth on both sides of the gap
    • Cantilever Bridge – Anchored on one side (used when only one adjacent tooth is available)
    • Maryland Bridge – Resin-bonded, conservative bridge used for front teeth
    • Implant-Supported Bridge – Fixed on implants, ideal for multiple missing teeth

    🌟 Benefits of Dentures & Bridges

    ✅ Restore chewing and speech functions

    ✅ Enhance facial structure and aesthetics

    ✅ Prevent shifting of nearby teeth

    ✅ Improve oral health and confidence

    ✅ Customized for comfort and fit

    🔬 Our Process at Finesse Dental

    • Consultation & 3D Imaging
    • We evaluate your oral condition using digital scans or X-rays to recommend the best prosthetic solution.
    • Impressions & Trial Fittings
    • We take precise measurements for a natural fit and test the appearance and bite before final placement.
    • Fabrication by Skilled Technicians
    • Your custom dentures or bridges are crafted using aesthetic, biocompatible materials.
    • Final Placement & Adjustments
    • We ensure the final fit is secure, functional, and visually pleasing.
    • Maintenance Guidance
    • We teach you how to care for your dentures or bridges for long-term use.

    FAQs on Dentures & Dental Bridges

    Are dentures uncomfortable?
    Modern flexible dentures are lightweight and well-fitting. You’ll adjust quickly with guidance.
    How long do dental bridges last?
    With proper care, dental bridges can last 10–15 years or more.
    Are fixed bridges better than removable dentures?
    Bridges offer more stability, but the best choice depends on your oral health and bone support.
    Can I eat normally with dentures?
    Yes! After a short adjustment period, you can enjoy most foods confidently.