Finesse Dental

Dental Veneers and Crowns in Mohali – Restore & Beautify Your Smile

Discover the Perfect Blend of Strength and Aesthetics

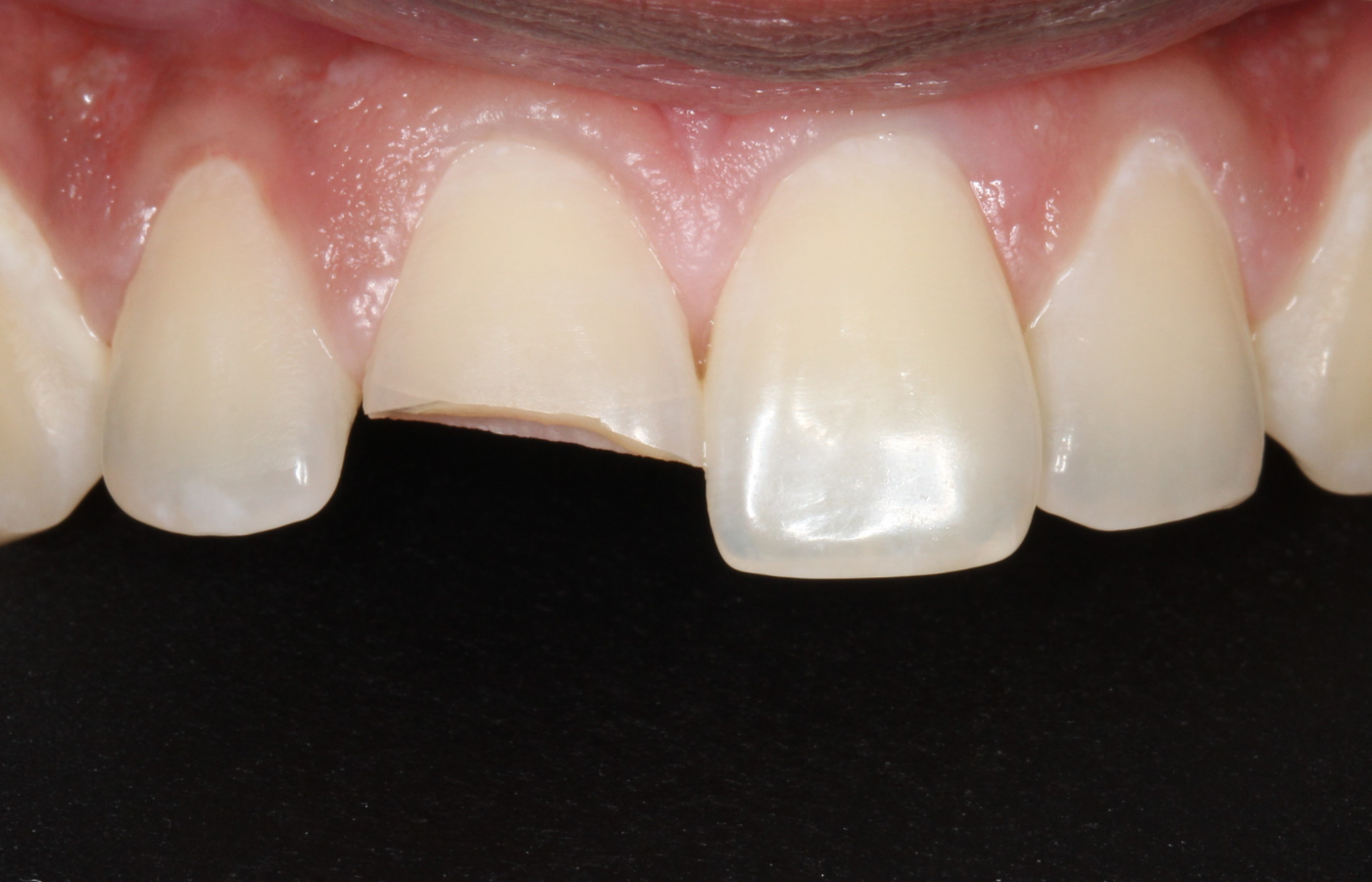
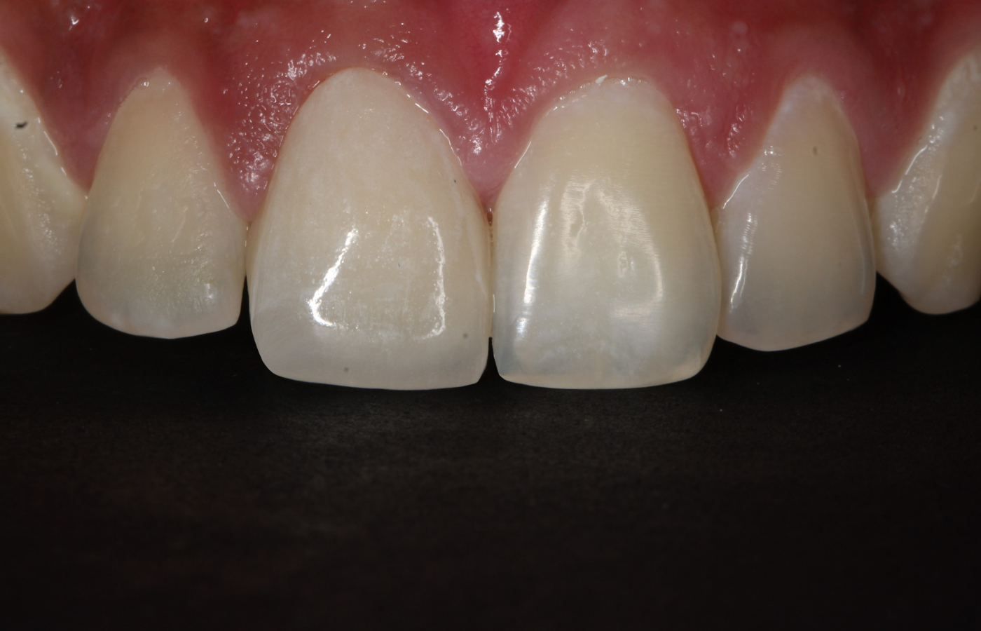
At Finesse Dental Cosmetic Clinic in Mohali, we specialize in veneers and dental crowns — two of the most effective treatments in cosmetic and restorative dentistry. Whether you’re dealing with chipped, stained, misaligned, or broken teeth, our expert dentists can help restore your confidence with a smile that looks natural and functions perfectly.

    Contact Info

    No: 58 A, East Madison Street, Baltimore, MD, USA 4508

    Social Share :

    🦷 What are Veneers and Crowns?

    Dental Veneers

    Veneers are thin, custom-made shells of porcelain or composite material that are bonded to the front surface of your teeth. They’re ideal for:

    • Discolored or stained teeth
    • Minor misalignment or gaps
    • Chipped or worn-down teeth
    • Uneven or oddly shaped teeth

    Veneers are minimally invasive and offer instant smile enhancement.

    💎 Dental Crowns

    A dental crown is a tooth-shaped cap that fully encases a damaged or weak tooth. It restores the strength, shape, and appearance of the tooth. Crowns are recommended for:

    • Broken or fractured teeth
    • Heavily filled or decayed teeth
    • Root canal treated teeth
    • Teeth with large old fillings

    Crowns can be made of ceramic, zirconia, porcelain-fused-to-metal (PFM), or metal alloys, depending on strength and aesthetic requirements.

    Key Benefits of Veneers and Crowns

    • Improved smile aesthetics
    • Natural tooth-like appearance
    • Durability and long-lasting results
    • Enhanced biting and chewing function
    • Protect and preserve natural teeth
    • Boost in self-confidence and oral comfort

    How to Choose: Veneers vs Crowns

    Criteria

    Veneers

    Crowns

    Coverage

    Front surface of the tooth

    Entire tooth (360° coverage)

    Best For

    Cosmetic corrections

    Structural repair or protection

    Tooth Preparation

    Minimal

    More extensive

    Durability

    10–15 years (with care)

    10–20 years (stronger option)

    Aesthetics

    Very high

    High (especially with ceramic or zirconia)

    Our dental experts will help you choose the best option based on your case, goals, and budget.

    🛠️ The Procedure at Finesse Dental Clinic

    1. Consultation & Smile Analysis
      We evaluate your oral health, bite, and smile line using intraoral scans, photos, and digital smile design.
    2. Tooth Preparation
      A small portion of enamel is removed (for veneers) or reshaped (for crowns) to fit the restoration.
    3. Impressions & Shade Selection
      We take accurate measurements and help you choose the ideal tooth shade for a natural look.
    4. Temporary Restoration (if needed)
      Provisional veneers or crowns are placed while your final ones are being fabricated.

    Final Fitting & Bonding
    The custom veneers or crowns are bonded using dental-grade adhesive. We ensure perfect fit, comfort, and aesthetics.

    📍 Why Choose Finesse Dental in Mohali?

    🦷 Expert cosmetic dentists with years of experience

    📸 Digital Smile Designing (DSD) for predictable results

    🔬 High-quality materials: E.max, zirconia, layered ceramics

    🛡️ Strong bonding protocols and precision fit

    💳 Transparent pricing and flexible EMI options

    🏥 Sterile, modern setup with latest technology

    💡 FAQs on Veneers and Crowns

    Are veneers and crowns painful?
    No. The procedure is done under local anesthesia and is virtually painless.
    How long do they last?
    With proper care, veneers can last 10–15 years and crowns up to 20 years or more.
    Can I eat normally with them?
    Yes. Once bonded, they function like natural teeth. Avoid biting very hard foods with veneered front teeth.
    How much do veneers or crowns cost in Mohali?
    The cost depends on the number of teeth, material used, and complexity. We offer customized treatment plans.