Finesse Dental

Invisalign®: The Gold Standard in Clear Aligner Therapy

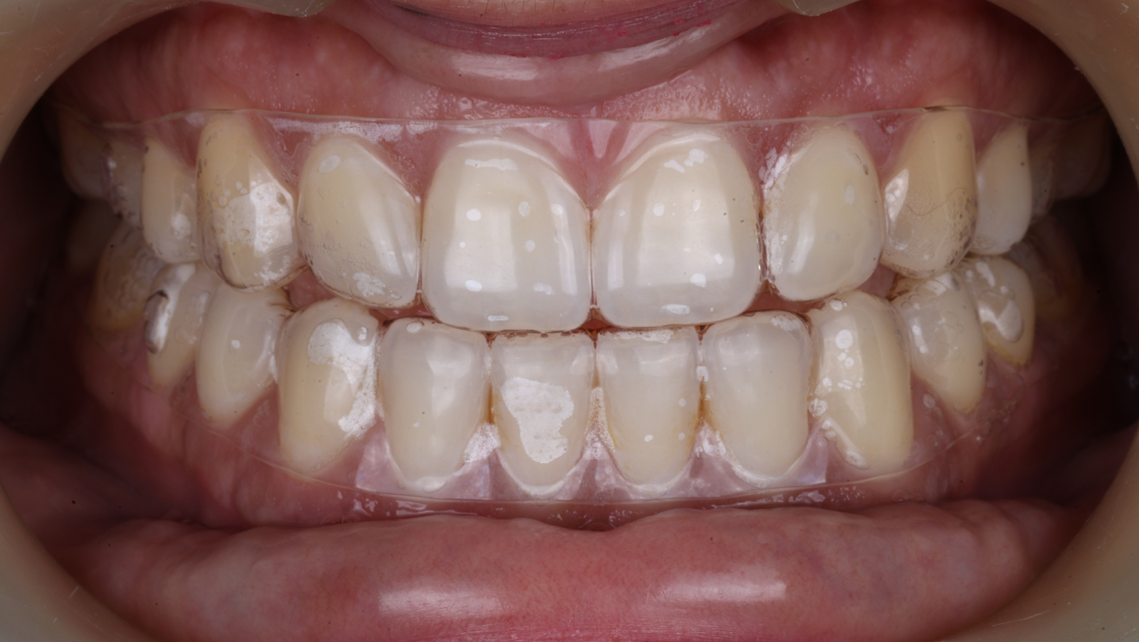
Invisalign is a globally trusted and clinically proven orthodontic system designed to straighten teeth using a series of custom-made, clear plastic trays. Backed by decades of research and over 15 million smiles corrected worldwide, Invisalign has become the most advanced and reliable clear aligner system available today.

    Contact Info

    No: 58 A, East Madison Street, Baltimore, MD, USA 4508

    Social Share :

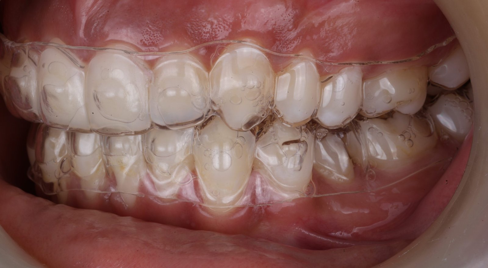
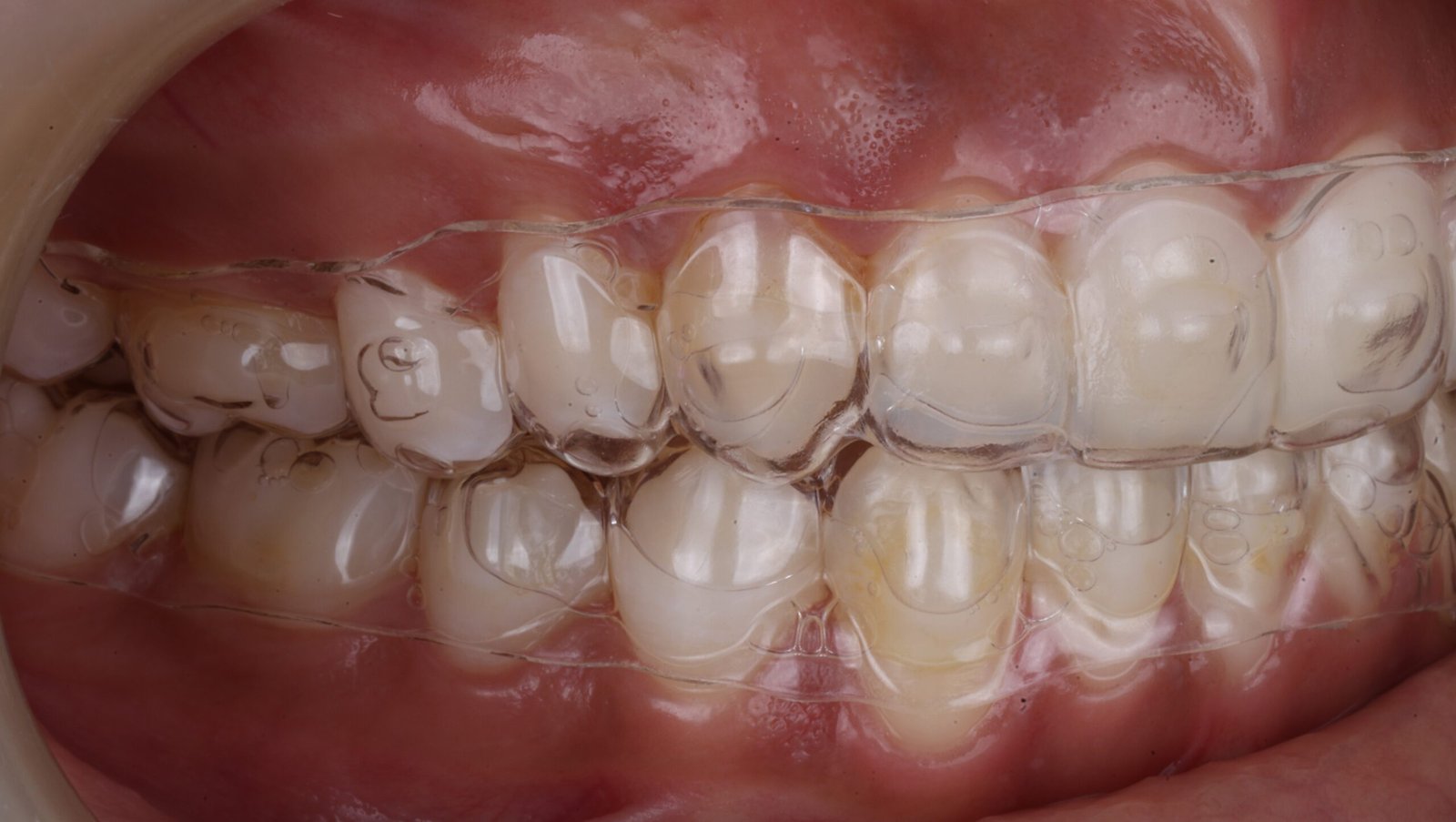
    How Invisalign Works

    Invisalign uses SmartTrack® material, a patented thermoplastic designed for optimal comfort, fit, and control of tooth movement. The treatment process involves:

    1. 3D Digital Scanning
      At Finesse Dental Clinic, we begin with a precise 3D scan of your teeth (no messy impressions), using advanced iTero® technology to create a digital model of your mouth.
    2. Customized Treatment Plan
      Using AI-powered Invisalign software, we simulate your step-by-step progress and final smile outcome—even before treatment begins.
    3. Series of Aligners
      You receive a set of aligners, each slightly different, to be worn sequentially. Each tray gently moves your teeth closer to the desired position.
    4. Wear Schedule
      Aligners must be worn for 20–22 hours a day and changed approximately every 7–14 days as prescribed.

    Monitoring & Refinements
    Regular in-clinic or remote check-ins ensure you’re on track. In some cases, refinements (additional aligners) may be needed to perfect your results.

    What Invisalign Treats

    Invisalign can treat a wide range of dental issues, including:

    • Crowded or overlapping teeth
    • Spacing and gaps between teeth
    • Overbite, underbite, crossbite, and open bite
    • Relapse after braces (teeth shifting back)

    Key Benefits of Invisalign

    Invisible Appearance – Nearly undetectable to others

    Removable – Eat, drink, brush, and floss with ease

    Fewer Emergencies – No wires or brackets to break

    Predictable Results – Real-time virtual simulation of progress

    Comfortable Fit – Smooth edges reduce gum and cheek irritation

    Trusted Worldwide – Used by top orthodontists in over 100 countries

    Who Can Get Invisalign?

    Invisalign is suitable for teens and adults who want a discreet and effective orthodontic solution. Certain complex cases may require additional treatments, which we’ll evaluate during your consultation.

    Other Clear Aligners: Aesthetic Alternatives to Braces

    Besides Invisalign, several other clear aligner systems are available in the market. While they work on the same principle—gradually moving teeth using transparent trays—they differ in materials, treatment planning, and professional oversight.

    Popular Alternatives to Invisalign

    • ClearCorrect®
      Developed in the U.S., ClearCorrect offers a similar tray-based treatment but uses a different type of plastic. It’s effective for mild to moderate cases and is often more cost-effective.
    • Flash Aligners (India)
      A newer Indian brand that offers digital treatment planning and aligner delivery with decent results, particularly for simpler alignment issues.
    • Illusion Aligners / 32 Watts / K Line
      Other Indian brands offering moderate results for cases that don’t require complex tooth movement.

    At-home aligners (e.g., toothsi)
    These are direct-to-consumer aligners that eliminate in-clinic visits but come with significant limitations in precision, case selection, and professional supervision.

    Pros of Other Clear Aligners

    • Often lower in cost compared to Invisalign
    • Locally made, with faster delivery timelines
    • Can be suitable for simple alignment cases

    Limitations Compared to Invisalign

    • Lack of SmartTrack® material, which ensures better control and movement
    • Less precise or predictable results in complex cases
    • Some systems lack in-person monitoring, increasing risk of poor outcomes
    • May not include refinements or mid-course corrections unless paid separately

    Fewer scientific studies and less global clinical data compared to Invisalign

    Which Clear Aligner Is Right for You?

    Choosing between Invisalign and other clear aligners depends on:

    • The complexity of your case
    • Your budget
    • Your lifestyle needs
    • The level of professional supervision you prefer

    At Finesse Dental Clinic, we offer Invisalign and other reliable clear aligner brands to suit every smile and budget. During your consultation, we will assess your oral health, scan your teeth digitally, and recommend the most suitable option based on your goals and needs.

    Book a Consultation Today

    Start your journey to a straighter, more confident smile with expert care and the latest in clear aligner technology.

    More Pros of Invisalign

    • Backed by Research
      Invisalign is supported by over two decades of clinical research and innovations, with more than 1,000 patents and continuous technological upgrades.
    • Customized Precision
      Each aligner is custom-made for your exact dental anatomy using advanced 3D imaging, ensuring superior fit and precision.
    • SmartForce® Attachments
      Optional small tooth-colored attachments help with complex movements like tooth rotation or vertical movement—something many other systems cannot achieve.
    • Faster Results in Many Cases
      With optimized tooth movement, Invisalign can often deliver faster results than traditional braces or generic aligners, especially in mild to moderate cases.
    • Better Oral Hygiene
      Since aligners are removable, you can maintain your normal brushing and flossing routine without interference, reducing the risk of cavities or gum disease during treatment.
    • Lifestyle-Friendly
      No food restrictions—just remove the aligners before eating. Enjoy your favorite foods without worry, unlike with metal braces.
    • Comfortable for Sports & Events
      Ideal for athletes and public speakers—no sharp brackets or risk of mouth injury from metal wires during sports or activities.
    • Treatment Simulation
      Invisalign offers a clear preview of your smile transformation even before you begin, thanks to its ClinCheck® software.
    • Minimal Emergency Visits
      No broken brackets or poking wires, so fewer urgent visits are needed compared to traditional braces.

    Safe for Allergic Patients
    Invisalign aligners are BPA-free and hypoallergenic, making them safe for individuals with metal allergies or sensitivities.

    🔍 Invisalign vs. Other Aligners: Quick Comparison

    Feature

    Invisalign

    Other Aligners

    Material

    SmartTrack® patented material

    Basic thermoplastic

    Precision & Fit

    AI-based planning with attachments

    Limited support for complex cases

    Monitoring

    In-clinic tracking + refinements

    Often remote or add-on cost

    Comfort

    Custom-trimmed for each tooth

    May cause irritation or gaps

    Refinements Included?

    Yes

    Not always

    Best for Complex Cases?

    Yes

    Usually mild/moderate only

    Global Trust

    Over 15 million cases worldwide

    Limited clinical validation

    💡 FAQs on Clear Aligners

    How long does Invisalign treatment take?
    On average, 6–18 months depending on case complexity.
    Can I remove aligners for special occasions?
    Yes. But wear them for 20–22 hours daily to stay on track.
    Is Invisalign more expensive?
    It may cost more, but offers superior technology, comfort, and results.
    Are aligners safe for metal allergies?
    Yes. Invisalign is BPA-free and hypoallergenic.