Finesse Dental

Save Your Natural Tooth, Relieve Pain, and Restore Function

What is Root Canal Treatment?

Root Canal Treatment, often abbreviated as RCT, is a dental procedure designed to save a severely infected or damaged tooth. It involves removing the infected pulp (the soft tissue inside the tooth), cleaning and disinfecting the canals, and then filling and sealing the space to prevent further infection.

Despite its reputation, modern root canal treatment is comfortable, highly effective, and helps preserve your natural tooth — avoiding the need for extraction and replacement.

    Contact Info

    No: 58 A, East Madison Street, Baltimore, MD, USA 4508

    Social Share :

    Understanding the Tooth Structure

    Each tooth has several layers:

    • Enamel: The hard outer surface
    • Dentin: The middle layer
    • Pulp: The innermost soft tissue containing nerves and blood vessels

    When the pulp gets infected due to decay, injury, or repeated dental procedures, it can lead to severe pain and eventually tooth loss if left untreated.

    Causes of Pulp Infection

    Several factors can lead to pulp damage or infection:

    • Deep dental decay (cavities)
    • Trauma to the tooth
    • Cracks or chips
    • Large fillings
    • Repeated dental treatments on the same tooth

    Why Might You Need a Root Canal?

    Inside every tooth is a soft tissue called the pulp, which contains nerves and blood vessels. When the pulp becomes inflamed or infected due to deep decay, a crack, trauma, or repeated dental procedures, it can cause intense pain and sensitivity.

    Signs You Might Need RCT:

    • Persistent toothache or throbbing pain
    • Sensitivity to hot or cold, even after the stimulus is removed
    • Pain when biting or chewing
    • Swelling or tenderness in the gums
    • Discoloration or darkening of the tooth
    • Pimple-like swelling on the gums (dental abscess)

    Ignoring these symptoms can lead to serious complications like abscess formation or bone loss around the tooth root.

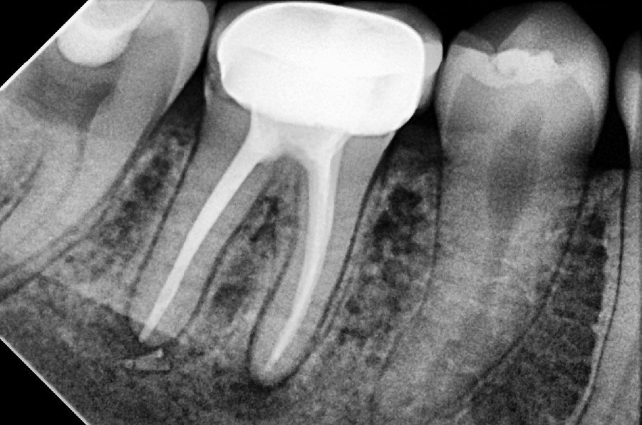
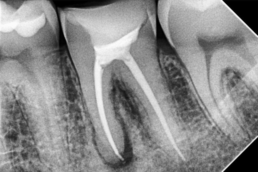
    The Root Canal Procedure – Step by Step

    At Finesse Dental Cosmetic Clinic, we use advanced rotary instruments and digital imaging to make your RCT precise, efficient, and painless. Here’s what to expect:

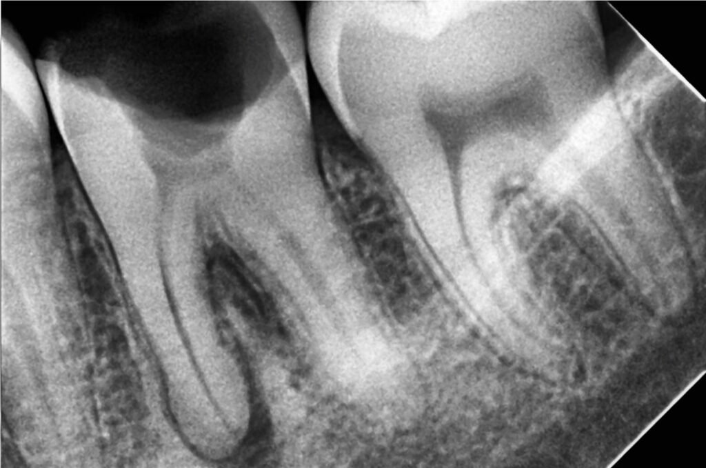
    1. Diagnosis & Digital Imaging
      Your tooth will be examined clinically and with digital X-rays to determine the extent of infection and the shape of the root canals.
    2. Local Anesthesia
      We ensure your comfort with effective anesthesia so that you feel no pain during the procedure.
    3. Access & Cleaning
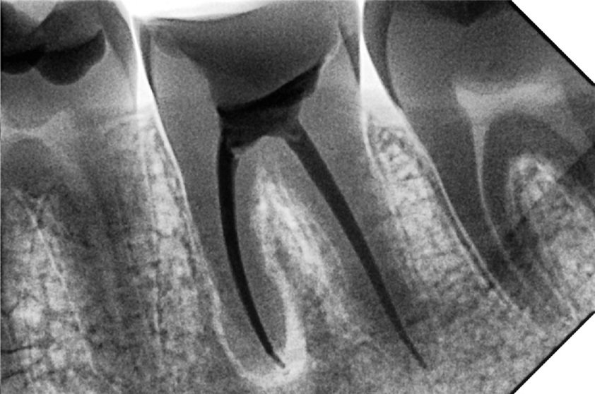
      A small opening is made in the crown of the tooth to access the infected pulp. The pulp is removed, and the root canals are carefully cleaned, shaped, and disinfected using modern rotary files.
    4. Filling the Canals
      The clean canals are filled with a biocompatible material called gutta-percha, and sealed to prevent reinfection.
    5. Restoration
      The tooth is then sealed with a temporary or permanent filling. In most cases, a crown is recommended afterward to strengthen and protect the treated tooth, especially in the back of the mouth.

    Why Choose Finesse Dental Cosmetic Clinic for RCT?

    • Performed by experienced Endodontists
    • Use of digital X-rays, apex locators, and rotary systems for precision
    • High success rate
    • Emphasis on painless dentistry and patient comfort
    • Option for Single Sitting RCT in suitable cases

    Benefits of Root Canal Treatment

    • Pain relief from infection or inflammation
    • Preserves your natural tooth, avoiding the need for extraction
    • Restores normal chewing and biting function
    • Prevents adjacent teeth from shifting

    Cost-effective compared to tooth extraction and replacement with implants or bridges

    Myths vs. Facts

    • Myth: Root canals are painful.
      Fact: With modern techniques and anesthesia, RCT is no more painful than getting a filling.
    • Myth: It’s better to remove the tooth.
      Fact: Saving your natural tooth helps maintain proper function and aesthetics and is usually the best long-term solution.

    Myth: Root canals take multiple appointments.
    Fact: Most root canals can be completed in 1 to 2 visits, especially with the use of modern rotary instruments.

    What Happens If You Delay Treatment?

    Avoiding or delaying root canal treatment can lead to:

    • Spread of infection to other teeth or jawbone
    • Formation of abscesses or cysts
    • Tooth loss
    • Complications that require more expensive procedures

    Aftercare and Recovery

    • Mild discomfort for a few days is normal and can be managed with painkillers.
    • Avoid chewing on the treated tooth until the permanent restoration is placed.
    • Maintain good oral hygiene and regular dental check-ups.

    FAQs on Laser Root Canal Treatment

    Is laser RCT painful?
    No. The procedure is virtually pain-free, and most patients report little to no discomfort
    How many visits does it require?
    In most cases, laser root canal treatment can be completed in a single visit.
    Is laser RCT better than traditional RCT?
    Yes. Laser RCT ensures deeper cleaning, fewer side effects, and promotes faster healing.
    Is it safe for children or elderly patients?
    Yes, laser RCT is safe, gentle, and well-suited for patients of all ages.