Finesse Dental

Full Mouth Rehabilitation in Mohali – Restore Your Smile & Confidence

Rebuild Your Oral Health with Advanced Dental Solutions

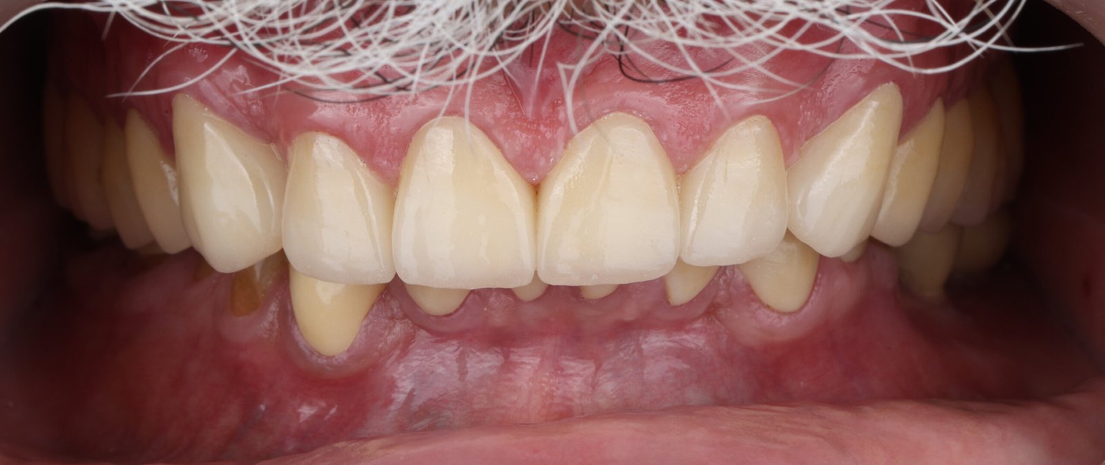
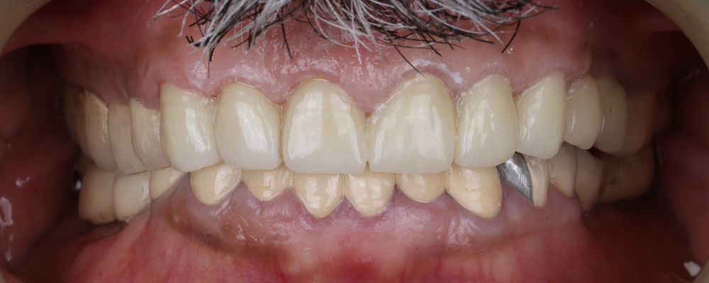
At Finesse Dental Clinic, we offer Full Mouth Rehabilitation in Mohali – a comprehensive treatment that restores the health, function, and aesthetics of your entire mouth. This life-changing solution is ideal for patients facing multiple dental concerns, including missing teeth, bite issues, and jaw discomfort.

    Contact Info

    No: 58 A, East Madison Street, Baltimore, MD, USA 4508

    Social Share :

    ✅ What is Full Mouth Rehabilitation?

    Full Mouth Rehabilitation, also called full mouth reconstruction, is a customized treatment plan that combines restorative, cosmetic, and prosthetic procedures to rebuild both upper and lower teeth. It not only transforms your smile but also restores chewing ability, jaw comfort, and facial structure.

    🧠 Our Diagnostic & Treatment Approach

    Every full mouth case at Finesse Dental begins with a comprehensive evaluation, including:

    • Digital X-rays & 3D CBCT scans
    • Intraoral photos and Digital Smile Designing (DSD)
    • Bite and TMJ analysis
    • Assessment of facial aesthetics and functional needs

    We then create a customized treatment roadmap that aligns with your oral health goals, comfort, and budget.

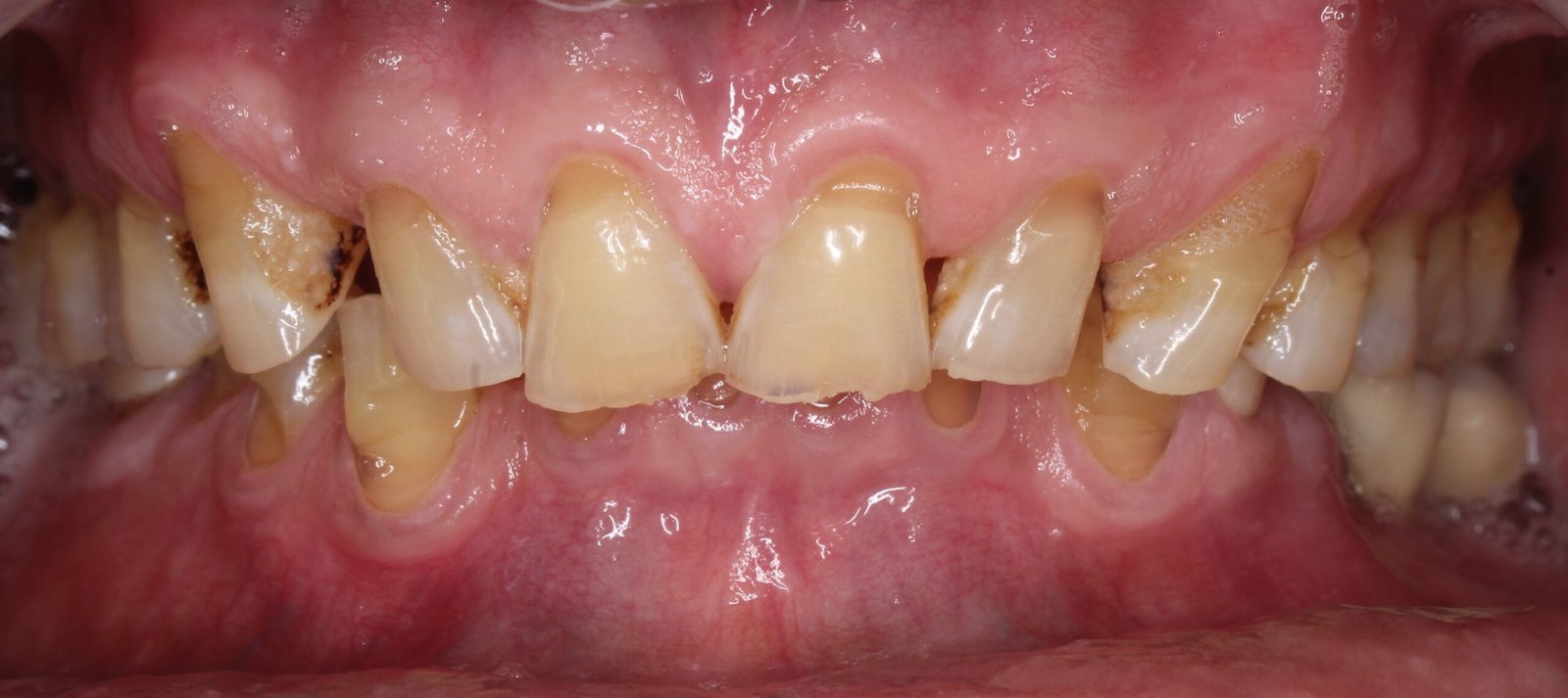
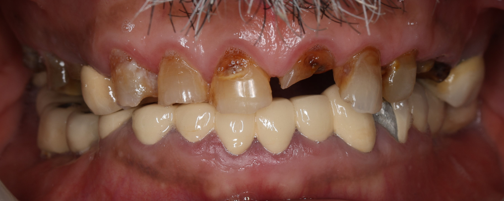
    🦷 Who Needs Full Mouth Rehabilitation?

    You may need full mouth rehabilitation if you suffer from:

    • Multiple missing, broken, or decayed teeth
    • TMJ disorders or jaw pain
    • Worn-down teeth due to grinding or acid erosion
    • Bite collapse or facial changes
    • Failed previous dental work
    • Difficulty chewing, speaking, or smiling confidently

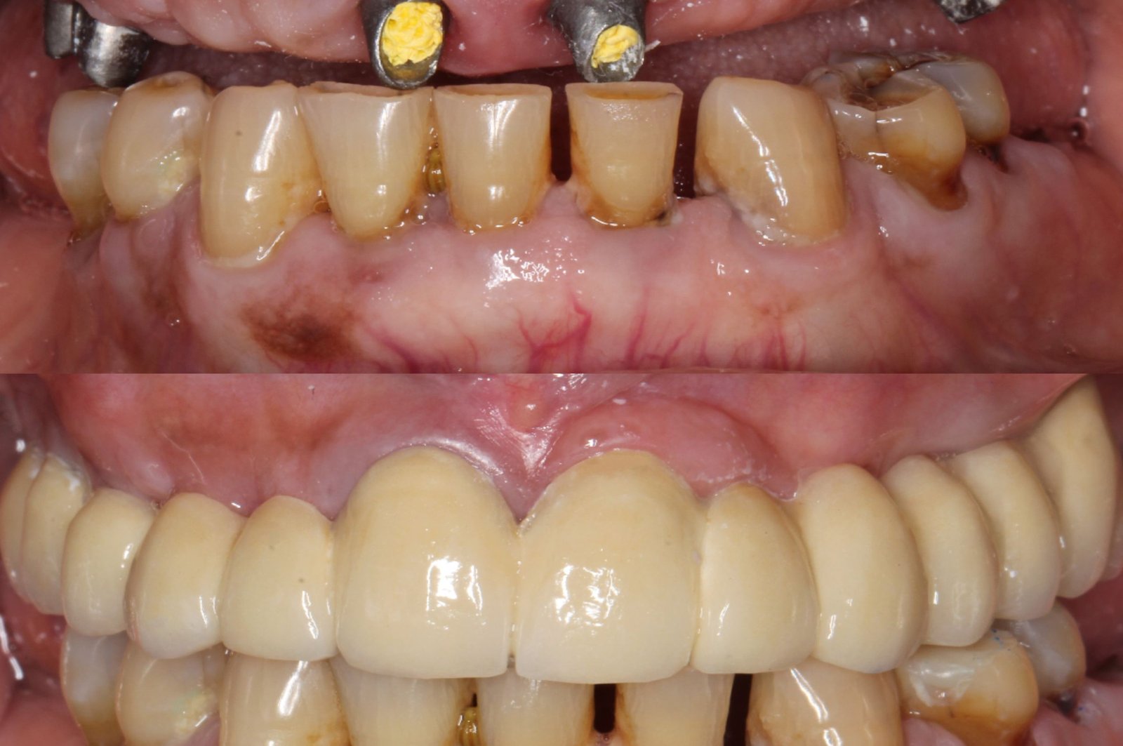
    🛠️ Common Treatments in Full Mouth Rehabilitation

    Depending on your needs, your personalized plan may include:

    🔹 Restorative Dentistry

    • Dental crowns, bridges, onlays/inlays
    • Tooth-colored fillings

    🔹 Tooth Replacement

    • Dental implants (single or full-arch)
    • Implant-supported dentures
    • Fixed or removable dentures

    🔹 Endodontic Therapy

    • Root canal treatment to save infected teeth

    🔹 Gum & Bone Therapy

    • Treatment for gum disease
    • Laser-assisted cleaning and gum reshaping

    🔹 Orthodontic Correction

    • Braces or clear aligners for alignment before restorations

    🔹 Cosmetic Enhancements

    Porcelain veneers, teeth whitening, and smile makeovers

    🌟 Why Choose Finesse Dental in Mohali?

    Multispecialty Team – Prosthodontists, endodontists, implantologists, and orthodontists

    Advanced Technology – CBCT, intraoral scanners, CAD/CAM & digital planning

    Patient-Centric Care – Personalized planning and phased execution

    Natural-Looking Results – Functional restorations that look like real teeth

    ⏱️ Duration & Phases of Treatment

    Full mouth rehabilitation is typically done in phases over a few weeks to months, based on:

    • The number of treatments needed
    • Healing time (e.g. after implants)
    • Collaboration across specialists

    We ensure that you’re informed, comfortable, and supported at every step.

    💰 Cost & Investment

    While full mouth rehabilitation is a significant investment, it’s also a transformative solution for your health and quality of life. At Finesse Dental:

    • We provide transparent estimates
    • Offer flexible payment options and EMI facilities

    Use top-quality materials for long-lasting results